Caryotype

Caryotype

Le caryotype, qu’est-ce que c’est ?

Un caryotype désigne une représentation, l’ordonnancement et la forme structurale des chromosomes contenus dans le noyau d’une cellule. On l’obtient par microscopie ou microphotographie. Il permet de détecter des anomalies chromosomiques.

Pourquoi est-il important ?

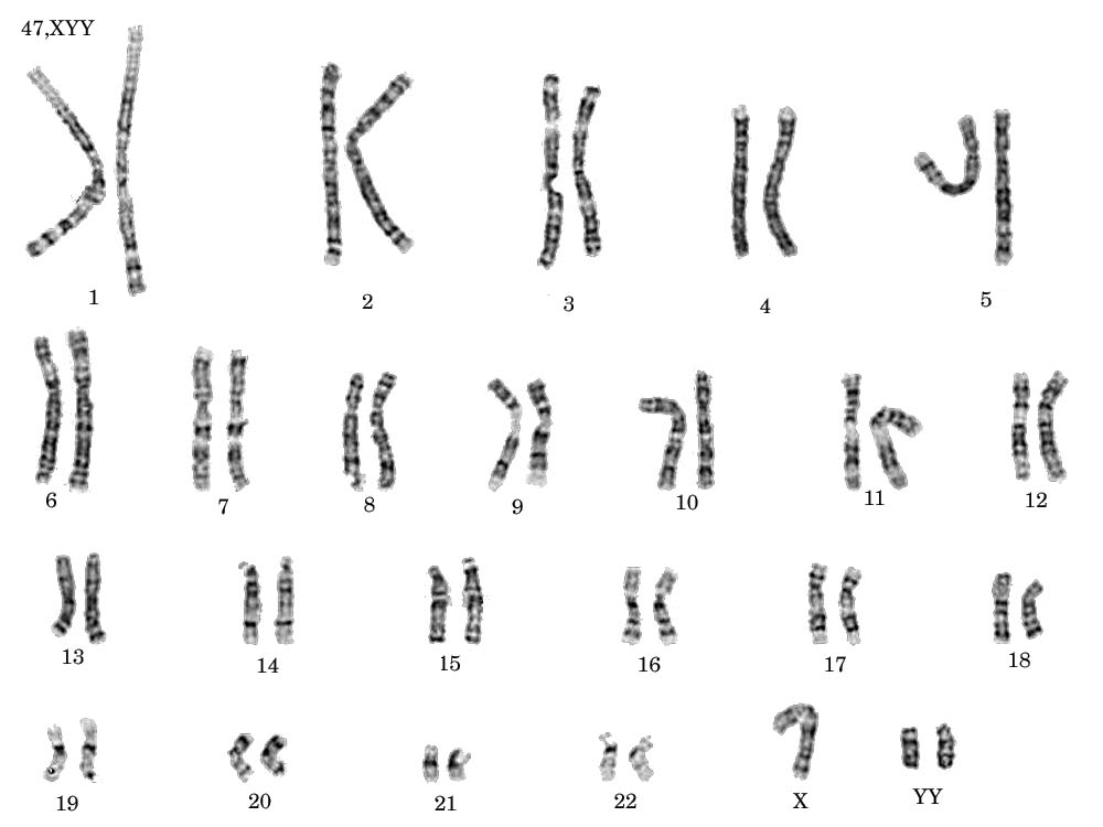
Le caryotype est très important car il permet de détecter des aberrations chromosomiques (telle que la trisomie 21)  ou d’identifier certains aspects du génome de l’individu, comme le sexe (XX , une fille ou XY, un garçon ). Prescrit par un médecin, il permet donc de révéler d’éventuelles anomalies génétiques.

Un caryotype humain normal doit comporter 23 paires de chromosomes (donc 46 chromosomes). Parfois, il en manque, ou au contraire il y en a en excédent. Et attention, les résultats peuvent varier d’un laboratoire à l’autre selon la technique utilisée et ne constituent pas à eux seuls un diagnostic. Il est donc important de consulter un médecin afin de prévoir avec lui des examens complémentaires ou un éventuel traitement.

En savoir plus sur le caryotype

Comment fonctionne le caryotype ? Le cycle cellulaire se stoppe durant la métaphase de la mitose. Au moment où les chromosomes se condensent. Après traitement chimique et coloration, les chromosomes sont regroupés par paires puis ordonnés des plus grands aux plus petits avant d’être photographiés sous microscopie. L’interprétation du résultat est généralement connu au bout de 2 à 3 semaines.

© 2022 Listivo - Listing Directory WordPress Theme. All rights reserved.